Ростов-на-Дону ваш город?
Да
Выбрать другой город

УЗИ-аппарат
Philips iE33 xMatrix

В наличии
Philips iE 33 – передовой ультразвуковой аппарат, оснащенный алгоритмом XRES, который обеспечивает оптимизацию изображений и повышение их качества. Он предлагает широкий выбор датчиков, технологии для сокращения времени и другие возможности для профессиональной диагностики.
В корзине
Лизинг
Доставка и лизинг по всей России
Включая Дагестан, Чечню и Крым
Гарантия
Гарантия на медицинское оборудование от производителя!
Послепродажный сервис
Инженерная поддержка
Инструктаж по монтажу и обучение персонала включены в стоимость
Гибкие условия
Оперативная доставка
Лизинг и доставка оборудования в наличии от 1 рабоего дня

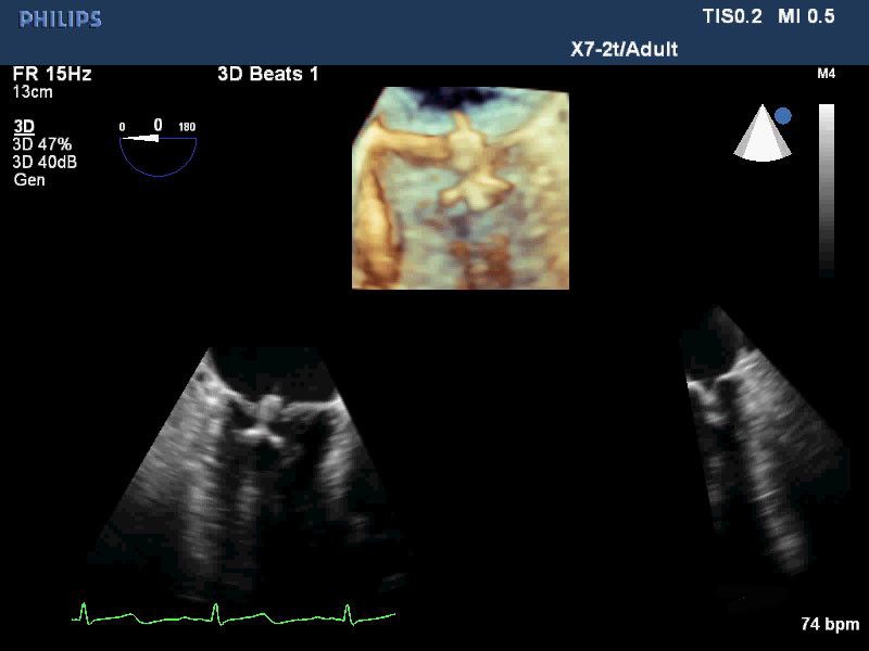
iE 33 – это УЗ-сканер экспертного-класса, специально разработанный для кардиологических отделений, и поэтому он обладает множеством расширенных функций для глубокой визуализации сосудов, а также включает в себя новейшие опции для Эхо-КГ.

Эта система справляется с трудными случаями, связанными с заболеваниями коронарных сосудов, сердечной недостаточностью, патологиями клапанов, инфарктом миокарда и другими сердечно-сосудистыми состояниями.

Расширенные возможности УЗ-сканера iE 33 включают:

  • Эхокардиография у взрослых
  • Эхокардиография у детей и новорожденных
  • Стресс-эхокардиография
  • Исследование сосудов
  • Чреспищеводная эхокардиография
  • Контрастная эхокардиография
  • Интраоперационные исследования
  • Эпикардиальная эхокардиография

Возможности iE 33 включают:

  • Отличное качество 2D-снимков
  • 3D-эхокардиография в реальном времени с углубленным количественным анализом
  • Точный анализ размеров сердца и оценка его функций при различных патологиях
  • Улучшенная визуализация с помощью матричных датчиков при проведении 3D-эхокардиографии
  • Регулируемый экран и панель управления, разъемы для датчиков и маневренная тележка
  • Монитор, который снижает нагрузку на глаза, и возможность регулирования высоты для комфортного положения врача
  • Широкий выбор датчиков для исследований, соответствующих различным задачам и заболеваниям пациентов.

iE 33 имеет ряд расширенных технологий, включая:

  • xMATRIX: Эта технология позволяет системе определить критический момент нагрузки во время стресс-эхокардиографии, что обеспечивает точность результатов и предотвращает необходимость повторных процедур.
  • Live 3D TEE: Эта функция позволяет проводить чреспищеводную эхокардиографию в режиме реального времени, что позволяет оценить механические сокращения сердца с точностью, необходимой для оценки результатов хирургического вмешательства.
  • Архитектура xSTREAM: Эта инновационная архитектура объединяет функции PureWave и xMATRIX, обеспечивая точные и четкие изображения для качественной диагностики и верного диагноза.
  • Live 3D Echo: Эта функция позволяет получать объемные 3D-изображения анатомии и механики сердца в режиме реального времени, расширяя возможности эхокардиографии.
  • Live xPlane: Эта функция позволяет одновременное отображение в двух плоскостях, что обеспечивает более полную информацию для диагностики.
  • Управление лучом: С помощью этой функции можно получать снимки в нужной проекции без потери качества, регулируя направление луча и выбирая произвольную плоскость.
  • QLAB: Это эффективное программное обеспечение для количественной оценки анатомии и функции сердца в режиме реального времени. Опции QLAB позволяют отслеживать прогресс заболевания и обеспечивают объективные данные для анализа.
  • Heart Model: Эта функция предоставляет быструю количественную оценку состояния левого желудочка и левого предсердия на основе введенных данных в режиме Live 3D.
  • FHN (Fetal Heart Navigator): Эта навигационная функция облегчает исследования сердца плода на основе 3D-данных. Она автоматически выбирает наилучшее базовое изображение при проекции артериального протока, помогая врачу получить нужные проекции.
  • MVQ: Эта технология предназначена для оценки функции митрального клапана и показывает состояние клапана с помощью 3D-моделирования.
  • iRotate: Эта функция позволяет системе автоматически найти ультразвуковое окно, не закрытое ребрами, сокращая время исследования.
  • iSlice: Эта инновационная функция упрощает использование 3D-изображений в медицинской практике. Она позволяет получать срезы интересующей области и находить наилучшие проекции, обновляя 2D-визуализацию изображения при вращении 3D-изображения.

Эти технологии значительно расширяют возможности диагностики и обеспечивают более точные и детализированные результаты при использовании УЗ-сканера iE 33.

Ультразвуковой аппарат iE 33 предоставляет следующие визуализационные режимы и технологии:

  • Двухмерный режим (2D): Этот режим позволяет получать стандартные двухмерные изображения сердца и других органов.
  • М-режим: Это одномерный режим, который используется для исследования анатомических структур и оценки движения сердца.
  • CD в М-режиме: Этот режим позволяет проводить допплеровское исследование сосудов в М-режиме.
  • 3D эхо-кг в реальном времени (Live3DEcho): Эта технология позволяет получать объемные 3D изображения сердца в режиме реального времени.
  • Визуализация с xPlane в реальном времени: Этот режим позволяет одновременное отображение изображений в двух плоскостях для более полной информации.
  • THI (Tissue Harmonic Imaging): Эта технология использует гармоническую составляющую колебаний внутренних органов для улучшения качества изображений, особенно для пациентов с большим весом.
  • Технология датчика C5-1 PureWave: Этот датчик обеспечивает улучшенную проникающую способность и разрешение, что помогает визуализировать и оценивать опухоли.
  • XRES: Эта технология обеспечивает адаптивную обработку изображений с высокой частотой для удаления шумов и повышения качества изображений.
  • SonoCT: Эта функция позволяет создавать составные ультразвуковые изображения путем управления лучом.
  • Live Volume: Эта функция позволяет получать объемные 3D изображения сердца в реальном времени с возможностью настройки скорости сканирования.
  • 3DQ Advanced: Эта опция позволяет проводить расчет объема левого желудочка на основе 3D-изображений и предоставляет точные данные о глобальной функции сердца.
  • iSCAN: Этот режим предлагает интеллектуальное сканирование для оптимизации параметров изображений.
  • Комбинация режимов В и М: Эта функция позволяет одновременно использовать двухмерный и М-режимы для более полной оценки состояния сердца.
  • Дуплексные режимы: Эти режимы используются для анализа состояния миокарда и сосудов, включая цветовую допплерографию (CD), импульсно-волновую оценку кровотока (PW), количественную оценку кровотока (CW) и другие.
  • Автоматизированная надстройка широкополосного картирования кровотока: Эта функция позволяет получить более подробные данные о кровотоке в сердце и сосудах.
  • Панорамная визуализация: Эта функция позволяет получать панорамные изображения до 100 см с использованием технологий SonoCT, XRES и THI.

Эти возможности и технологии обеспечивают точную и детализированную визуализацию для профессиональной диагностики и оценки состояния сердца и других органов.

Ультразвуковой аппарат iE 33 оснащен следующими типами датчиков:

  • SuperFlex: Технология SuperFlex обеспечивает удобную конфигурацию датчиков, позволяя адаптировать их к различным анатомическим областям для улучшенной визуализации.
  • PureWave: Уникальная технология PureWave позволяет достичь высокого качества изображения и проникающей способности. Это помогает визуализировать ткани и структуры с высокой четкостью и разрешением.
  • Матричные фазированные объемные датчики: Аппарат iE 33 оснащен матричными фазированными объемными датчиками высокого разрешения, которые содержат 2500 элементов. Эти датчики обеспечивают детализированную визуализацию и улучшенную чувствительность при исследованиях сердца и других органов.

В отношении работы с данными, iE 33 предлагает следующие возможности:

  • Видеопринтер: Аппарат поддерживает использование видеопринтера для печати ультразвуковых изображений, что позволяет проводить более подробное изучение результатов и обеспечивает удобство в архивировании и предоставлении информации.
  • DICOM (Digital Imaging and Communications in Medicine): Аппарат поддерживает стандарт DICOM, что обеспечивает возможность просмотра, редактирования, архивирования и передачи ультразвуковых данных в цифровом формате.
  • Передача данных на флеш-накопитель через USB: Аппарат iE 33 позволяет легко передавать ультразвуковые изображения и данные на флеш-накопитель через интерфейс USB для удобства обмена информацией и сохранения результатов исследований.

Эти функции обеспечивают удобство в работе с данными, архивировании информации и обмене данными с другими медицинскими системами и устройствами.

Купить УЗИ ультразвуковую диагностическую систему Philips iE33 xMatrix

Вы можете приобрести УЗИ ультразвуковую диагностическую систему Philips iE33 xMatrix у компании Medicray. Мы специализируемся на поставках медицинского оборудования в различные медицинские учреждения и гарантируем своевременные поставки, высокое качество оборудования и оптимальные цены.

Для приобретения оборудования у нас есть возможность оформления в лизинговой форме совместно с несколькими лизинговыми компаниями. Процесс приобретения в лизинг включает следующие шаги:

  • Оставьте заявку на нашем сайте или свяжитесь с нами по телефону 8 800 700 21 33.
  • Наш менеджер подготовит для вас предложение на оборудование и предоставит график платежей.
  • После получения одобрения от выбранной лизинговой компании вы заключаете договор лизинга.
  • Лизинговая компания приобретает выбранное оборудование и передает его вам в лизинг.
  • Вы начинаете использовать медицинское оборудование, регулярно внося лизинговые платежи.
  • По окончании договора лизинга оборудование переходит в вашу собственность.

Не упустите возможность получить выгодную цену и лучшие условия финансирования. Позвоните нам уже сейчас по телефону 8 800 700 21 33 и оставьте заявку на коммерческое предложение по аппарату Philips iE33 xMatrix. В будущем цены могут быть выше, поэтому советуем связаться с нами как можно скорее.

Технические характеристики
Диагональ монитора:
20 дюйм
Диагональ командной сенсорной панели:
10.4 дюйм
Тип аппарата:
Стационарный
Эластография:
Компрессионная, Сдвиговая
Класс аппарата:
Премиальный
Поддерживаемые датчики:
Матричные
Количество портов:
4
Страна производитель:
Нидерланды
Бренд:
Philips
Категория:
Общая визуализация, Гинекология и акушерство, УЗИ для кардиологии
Доступные опции
Режимы акустической прозрачности 3D:
Нет
Трехмерная реконструкция ЦДК:
Да
Объемное сканирование:
Нет
Трехмерная реконструкция методом свободной руки:
Да
Эластография сдвиговой волной/Эластометрия:
Нет
Компрессионная эластография:
Нет
Автоматическая подстройка рамки допплера:
Нет
Режим полной автоматизации:
Нет
Недопплеровская визуализация кровотока:
Нет
Тканевой допплер:
Да
Направленный энергетический допплер:
Нет
Энергетический допплер:
Да
Высокочастотный импульсный допплер:
Да
Цветовой допплер:
Да
Постоянно-волновой допплер:
Да
Импульсно-волновой допплер:
Да
Анатомический М-режим:
Да
Панорамное сканирование:
Да
Режим B-сканирования с отклонением угла:
Нет
Трапециевидное сканирование/Виртуальный конвекс:
Да
Триплексное сканирование:
Нет
Дуплексное сканирование:
Нет
Цветной M-режим:
Нет
M-режим:
Нет
B-режим, Двухмерное сканирование:
Нет
Область применения
Общая визуализация:
Да
Кардиология:
Да
Гинекология:
Да
Компоненты дополнительной поставки
4D:
Да
DICOM:
Да
IMT (Intima Media thickness):
Да
B-Steer:
Да
Подавление зернистости:
Да
Стресс-эхо:
Да
ЭКГ модуль:
Да
IFusion:
Да
Онлайн калькулятор
Цена
Ориентировочная цена модели
Аванс
10% 100%
 
Срок лизинга
12 месяцев 36 месяцев
 
Ежемесячный платёж
Первоначальный взнос
* Рассчет платежа носит информационный характер и не является публичной офертой.
Условия лизинга индивидуальны для каждого договора.
Условия лизинга
  • По всей России (Включая Крым, Дагестан и Чечню)
  • Авансовый платеж от 10% (для УЗИ брендов GE, Mindray и Samsung)
  • Оформление лизинга от 48 часов
  • Возможность досрочного погашения
  • Лизинг оборудования от 1 года

  • Размер экрана, ″ - 20
  • DICOM - Да
  • Количество разъемов для датчиков - 4
  • Командный сенсорный дисплей - Да
  • Наличие эластографии компрессионной - Да
  • Наличие эластографии сдвиговой волны - Да
  • Наличие блока объемного сканирования (4D) - Да
  • Трехмерная реконструкция методом "свободной руки" - Да
  • Автоматический расчет толщины комплекса интима-медиа (IMT) - Да
  • Трапециевидный режим (виртуальный конвекс) - Да
  • Панорамное сканирование - Да
  • Опция получения трехмерного изображения в режиме цветового допплеровского картирования - Да
  • Программа автоматического измерения основных параметров биометрии плода в акушерстве - Нет
  • Наличие автоматического расчета воротникового пространства- Нет
  • Программы оценки деформации миокарда - Да
  • Пакет опций 5D - Нет
  • Поддержка постоянно-волнового доплера (CW) - Да
  • Поддержка цветного доплера (CD) - Да
  • Поддержка тканевого доплера (TDI) - Да
  • Поддержка анатомического М-режима - Да
  • Поддержка технологии Fusion (совмещение изображений на КТ/МРТ с УЗИ) - Да
  • Поддержка объемной визуализации сердца плода (STIC) - Нет
  • Поддержка блока ЭКГ - Да
  • Поддержка исследований с контрастными веществами - Да
  • Тип устройства - Стационарный
  • Поддержка особых датчиков - Матричные
  • Специализация (УЗИ) - Общие исследования, Кардиология, Гинекология и акушерство
  • Класс аппарата - Премиальный
  • Вид эластографии - Компрессионная, Сдвиговая волна
  • Виды поддерживаемых датчиков - Конвексный, Микроконвексный, Карандашный, Линейный (до 15 МГц), Линейный низкочастотный (до 10 МГц), Полостной конвексный, Секторный фазированный взрослый, Интраоперационный линейный, Секторный фазированный педиатрический, Секторный фазированный неонатальный, Чреспищеводный взрослый, Чреспищеводный педиатрический, Объемный кардиологический (трансторакальный)
  • Типы поддерживаемых датчиков - Высокоплотный, Монокристаллический, Матричный
  • Количество активных разъемов для датчиков - 3
  • Подогреватель геля - Нет
  • Цветной допплер (CD) - Да
  • Тканевой допплер (TDI) - Да
  • Разветвитель датчиков у портативных сканеров - Нет
  • Встроенная аккумуляторная батарея - Нет
  • Оценка деформации миокарда (спекл-трекинг) - Да
  • Твердотельный накопитель (SSD) - Нет
  • Импульсно-волновой допплер - Да
  • Высокочастотный импульсный допплер - Да
  • Энергетический допплер - Да
  • Направленный ЭД - Нет
  • Векторное картирование кровотока - Нет
  • Автоматическое определение фракции выброса по Симпсону - Да
  • Автоматическая оптимизация изображения - Да
  • Автоматический расчет параметров гемодинамики по допплеровскому спектру (трассировка/оконтуривание спектра) - Да
  • Недопплеровская визуализация кровотока - Нет
  • Стресс-эхокардиография - Да
  • Wi-fi - Нет
  • Улучшение визуализации иглы для линейных датчиков - Да
  • Наклон луча в допплеровских режимах на линейных датчиках B-steer - Да
  • Многолучевое сканирование/компаундинг - Да
  • Подавление зернистости - Да
  • Виртуальный источник освещения при 3D - Да
  • Опция получения трехмерного изображения в режиме цветового допплеровского картирования (трехмерная реконструкция ЦДК) - Да
  • Автоизмерения в 3D режиме - Нет
  • Высокочувствительный допплер (визуализация микрососудов) - Нет

Дополнительные опции

Акушерство

4D Imaging

Кардио

TDI, MVQ, iScan Color and Doppler, High Q, Live xPlane, Strain Q, A2DQ, MVI, xMatrix xPlane, 3DQ, 3DQ Advanced, Contrast Card, Anatomical Mmode, Stress, QLAB GI 3DQ Сосуды IMT, ROI

Общая визуализация

Panoramic 2D, SonoCT, Smart exam, iScan 2D, Dicom Networking

Онкология

Contrast GI, Strain Elastography

  • Матричный УЗИ датчик Philips Х5-1
  • Чреспищеводный УЗИ датчик Philips S7-3T
  • Матричный УЗИ датчик Philips X7-2
  • Чреспищеводный УЗИ датчик Philips S8-3T
  • Линейный УЗИ датчик Philips L9-3
  • Секторный УЗИ датчик Philips S5-1 PureWave
  • Линейный УЗИ датчик Philips L11-3
  • Секторный УЗИ датчик Philips S8-3
  • Конвексный УЗИ датчик Philips C8-5
  • Секторный УЗИ датчик Philips S12-4
  • Конвексный УЗИ датчик Philips C5-1 PureWave
  • Матричный УЗИ датчик Philips X3-1
  • Конвексный УЗИ датчик Philips C5-2
  • Чреспищеводный УЗИ датчик Philips Х7-2T
  • Линейный УЗИ датчик Philips L15-7io
Давайте обсудим
Покупку или лизинг
медицинского оборудования