Ростов-на-Дону ваш город?
Да
Выбрать другой город

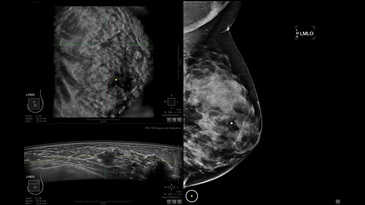
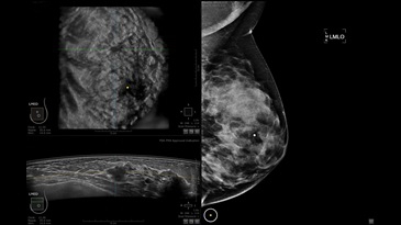
УЗИ-аппарат
GE INVENIA ABUS 2.0

В наличии
GE INVENIA ABUS – это современный УЗИ аппарат, который создан для точной и эффективной диагностики сканирования с высокой плотностью молочных желез. Выявляемость патологий раковых и предраковых стадий заболевания составляет 55%, что в конечном счете позволяет ставить врачу точные и своевременные диагнозы. Традиционные методы использования маммографии не показывают такой выявляемости, ограничиваясь лишь 3-38%.
В корзине
Лизинг
Доставка и лизинг по всей России
Включая Дагестан, Чечню и Крым
Гарантия
Гарантия на медицинское оборудование от производителя!
Послепродажный сервис
Инженерная поддержка
Инструктаж по монтажу и обучение персонала включены в стоимость
Гибкие условия
Оперативная доставка
Лизинг и доставка оборудования в наличии от 1 рабоего дня

УЗИ-аппарат GE INVENIA ABUS позволяет проводить максимально операторонезависимые процедуры, что значительно снижает риск неправильной постановки диагноза и сопутствующие издержки на обработку информации. Система готовит отчет в течение 3-х минут после сканирования, это безусловное преимущество по сравнению с обычным УЗИ сканером.

Обследование за 15 минут? Это возможно!

  • датчик с изогнутой апертурой для качественного исследования
  • сканирование одной грудной железы в трех проекциях не более 60 сек.;
  • обработка результатов за три минуты.

Данное устройство классифицируется, как стационарное, используемое в многопрофильных клиниках, женских консультациях, медицинских центрах. Вес без учета дополнительного оборудования составляет 105 кг. Удобная колесная база позволяет оперативно маневрировать в ограниченных пространствах, в том числе передвигать устройство в коридорах клиники. Большой 17-ти дюймовый монитор с широкими углами обзора выводит максимально качественную картинку в формате Full HD.

Возможности встроенной УЗ-системы:

  • Увеличение или уменьшение степени сжатия грудной железы;
  • Функция автоматического сканирования активируется одним нажатием;
  • Возможность отмены сканирования;
  • Глубина проникновения УЗ-лучей – до 50 мм;
  • Одно детализированное изображение можно получить менее чем за 1 минуту
  • Многорядная светодиодная подсветка;
  • Встроенный сверхширокий вогнутый датчик С15-6ХW.

Области применения: ультразвуковой скрининг заболеваний молочных желез.

Класс системы: экспертный

Купить УЗИ Аппарат GE INVENIA ABUS

Компания Medicray специализируется на поставках медицинского оборудования в клиники, медицинские и хирургические центры, стоматологии и другие ЛПУ. Мы гарантируем сроки поставки, качество нашего оборудования и оптимальные цены. Мы всегда открыты к торгу индивидуальным договоренностям. У нас лучшие условия на рынке!

Продаем оборудование в лизинг, сотрудничая с несколькими лизинговыми компаниями:

  • Вы оставляете заявку
  • Наш менеджер готовит предложение на оборудование и график платежей
  • Вы получаете одобрение в лизинговой компании и заключаете договор лизинга
  • Лизинговая компания приобретает оборудование и передает вам в лизинг
  • Вы пользуетесь медицинским оборудованием
  • Вносите регулярный лизинговый платёж, по окончании договора оборудование переходит в вашу собственность

Звоните по телефону +7 (495) 011-01-07 уже сейчас, чтобы получить выгодную цену и лучшие условия финансирования. Потом будет дороже! Оставьте заявку на коммерческое предложение по аппарату GE INVENIA ABUS.

Технические характеристики
Диагональ монитора:
17 дюйм
Тип аппарата:
Стационарный
Эластография:
Нет
Класс аппарата:
Экспертный
Поддерживаемые датчики:
Высокоплотные
Количество портов:
1
Страна производитель:
США
Бренд:
GE Healthcare
Категория:
Общая визуализация
Доступные опции
Режимы акустической прозрачности 3D:
Нет
Трехмерная реконструкция ЦДК:
Нет
Объемное сканирование:
Нет
Трехмерная реконструкция методом свободной руки:
Нет
Эластография сдвиговой волной/Эластометрия:
Нет
Компрессионная эластография:
Нет
Автоматическая подстройка рамки допплера:
Нет
Режим полной автоматизации:
Нет
Недопплеровская визуализация кровотока:
Нет
Тканевой допплер:
Нет
Направленный энергетический допплер:
Нет
Энергетический допплер:
Нет
Высокочастотный импульсный допплер:
Нет
Цветовой допплер:
Нет
Постоянно-волновой допплер:
Нет
Импульсно-волновой допплер:
Нет
Анатомический М-режим:
Нет
Панорамное сканирование:
Нет
Режим B-сканирования с отклонением угла:
Нет
Трапециевидное сканирование/Виртуальный конвекс:
Нет
Триплексное сканирование:
Нет
Дуплексное сканирование:
Нет
Цветной M-режим:
Нет
M-режим:
Нет
B-режим, Двухмерное сканирование:
Нет
Область применения
Общая визуализация:
Да
Компоненты дополнительной поставки
3D/4D:
Да
DICOM:
Да
IMT (Intima Media thickness):
Да
Подавление зернистости:
Да
Алгоритм однородности изображения ткани (TEA):
Да
Определение границ молочной железы (BBD):
Да
Компенсация акустической тени от соска (NSC):
Да
Invenia ABUS Review Software:
Да
Онлайн калькулятор
Цена
Ориентировочная цена модели
Аванс
10% 100%
 
Срок лизинга
12 месяцев 36 месяцев
 
Ежемесячный платёж
Первоначальный взнос
* Рассчет платежа носит информационный характер и не является публичной офертой.
Условия лизинга индивидуальны для каждого договора.
Условия лизинга
  • По всей России (Включая Крым, Дагестан и Чечню)
  • Авансовый платеж от 10% (для УЗИ брендов GE, Mindray и Samsung)
  • Оформление лизинга от 48 часов
  • Возможность досрочного погашения
  • Лизинг оборудования от 1 года

Технические характеристики

  • Сенсорный монитор с диагональю 17”
  • Рабочая станция

Режимы сканирования

  • Увеличение степени сжатия молочной железы
  • Уменьшение степени сжатия молочной железы
  • Получение объемных 3D изображений с возможностью покадрового просмотра
  • Настраиваемые рабочие протоколы
  • Алгоритмы обработки изображений: алгоритм однородности изображения ткани (TEA), подавление зернистости, компенсация акустической тени от соска (NSC), определение границ молочной железы (BBD), определение стенки грудной клетки
  • Получение изображений в поперечной плоскости (в реальном времени) и в коронарной плоскости (статическая, для указания нахождения соска)


Цифровая рабочая станция

  • Сменные (одноразовые) мембраны датчика
  • Запуск процесса автоматического сканирования одним нажатием
  • Опция отмены сканирования
  • Эргономичный кронштейн для датчика с 3 настраиваемыми уровнями компрессии от 2 до 9 кг.
  • Встроенный сверхширокий вогнутый датчик C15-6XW: диапазон частот: 4 - 15 МГц; длина апертуры: 15,3 см; длина сканируемого участка: 16,9 см; количество элементов: 768
  • Глубина сканирования до 5 см.
  • Стабилизирующая мембрана
  • Получение одного объемного изображения менее чем за 60 секунд
  • Многорядная LED подсветка
  • Съемная рамка датчика для упрощения очистки
  • Удаленная техническая диагностика системы
  • Интегрированное руководство пользователя


Технические параметры рабочей станции

  • Отображение объемных 3D ультразвуковых изображений, которые состоят из традиционных поперечных и воссозданных коронарных и сагиттальных проекций
  • Возможность отображения полного 3D изображения
  • 64-битный преобразователь с широкими возможностями и инструментами для полноценного анализа и отчетности
  • Пользовательский интерфейс ICONS
  • Несколько протоколов для просмотра, которые могут быть настроены пользователем

Отображение и навигация

  • Индивидуальные пользовательские настройки для сканирования и просмотра изображений
  • Многооконный просмотр: 4 - 12 изображений
  • Оптимизированные протоколы обзора для большого потока пациентов
  • Стандартизованная ориентация изображения: «толстый срез» в коронарной плоскости; поперечная; сагиттальная плоскость; радиальный и антирадиальный поворот изображения; просмотр исключительно области интереса
  • Изменяемая толщина среза: 0,5 - 10,0 мм (шаг 0,5 мм)
  • Срез: 0,5 - 2,0 мм (шаг 0,5 мм)
  • Настройка градаций серого
  • Функция панорамирования и масштабирования
  • Инструмент увеличения 4X
  • Просмотр кинопетель с регулируемой скоростью воспроизведения
  • 360 ° APC - отображение области по «любой точке компаса»
  • Одновременный просмотр двух изображений для сопоставления в коронарной плоскости
  • Инструменты управления в виде иконок

Дополнительные компоненты:

  • Программное обеспечение Invenia ABUS Review Software для рабочей станции

Комплектующие:

  • Акустический лосьон Polysonic (нестерильный) - 1 упаковка (12 бутылок по 250 мл.)
  • Одноразовая сканирующая мембрана - 1 упаковка, 50 шт.
Давайте обсудим
Покупку или лизинг
медицинского оборудования